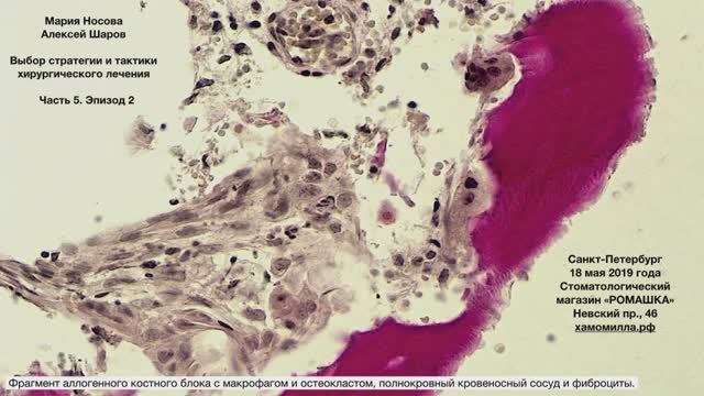
Выбор стратегии и тактики лечения 5.2
Мы в Телеграм: t.me/hamomilla_russia Наши сайты Ромашка: hamomilla.shop Лиопласт: lyoplast.com Российские Костные Блоки: russianboneblocks.ru Мы в Вк Ромашка: vk.com/hamomilla2024 Лиопласт: vk.com/club155620283
Мы в Телеграм: t.me/hamomilla_russia Наши сайты Ромашка: hamomilla.shop Лиопласт: lyoplast.com Российские Костные Блоки: russianboneblocks.ru Мы в Вк Ромашка: vk.com/hamomilla2024 Лиопласт: vk.com/club155620283
